viewphii-US Product Information
How to use
-
How to activate
1Activating probe
Press and hold the power button on the probe for at least 3 seconds (until the [PWR] LED flashes blue).
2Activating tablet
Press and hold the power button on the left side of the unit (until it vibrates) to activate the tablet.
3Log in to tablet
Enter login information on the screen shown below.
Select [Account].
Enter [Password].
Tap [LOGIN].
Tap [Connect] on the tablet's scanning screen.
[NOTE]
It takes about 10 seconds for the connection to be established.Once the connection is established, the [PWR] LED lights up in blue on the probe itself and the connection success message window appears on the tablet screen.
Tap [OK] in the connection success message window. The [Connect] button will change to the [Freeze] button.
Tap the [Freeze] button to enter the scanning mode.
-
How to scan
1Applying gel
Apply water-soluble gel to the probe head. Always apply gel for correct scanning.
[NOTE]
Use a gel that has been confirmed to be safe. Also, use one that has been sterilized as required.2Start scanning
Tap the [Freeze] button on the tablet or press the [Scan] button on the probe to start scanning.
3Scanning
Once scanning starts, the ultrasound image captured from the probe is displayed on the tablet.
Various parameters can be set as needed.
-
[Save Video]
Tap the [Record] button to save the captured ultrasound image as a video. A 30-second video is saved.
-
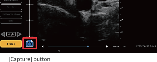
[Save Image]
When the desired image is displayed, tap the [Freeze] button.
To save a still image, tap the [Capture] button.
[NOTE]
"Drag the slide bar on the right side of the button to rewind back and forth in time through the captured image.
Tap the left and right cursor keys to view a still image, frame by frame.
Use them to display the desired image and save the still image with the [Capture] button."
-
How to end scanning
1Turn off the probe
Press and hold the power button on the probe until the [PWR] LED turns off.
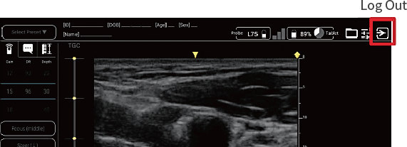
2Log Out
Tap [Log out] on the tablet screen. Tap [Yes] on the dialog box that appears to confirm log-out.
3Turn off the tablet
Press and hold the [Power button] on the side of the tablet to display the dialog box and tap the [Power Off] button.