viewphii-US 製品情報
使用方法
-
起動方法
1プローブ起動
プローブの電源ボタンを3秒以上長押し([PWR LED]が青点滅表示するまで)します。
2タブレット起動
本体左側面の電源ボタンを長押し(バイブレーションするまで)て、タブレットを起動します。
3タブレットログイン
タブレットに表示される下記画面よりログイン情報を入力します。
[Account]を選択します。
[Password]を入力します。
[LOGIN]をタップします。
タブレットの走査画面より[Connect]をタップします。
[ポイント]
接続が確立するまでに10秒程度かかります。接続が確立すると、プローブ本体の[PWR LED]が青く点灯し、タブレット画面に接続成功のメッセージウィンドウが表示されます。
接続成功メッセージウィンドウより[OK]をタップしてください。[Connect]ボタンから[Freeze]ボタンに変わります。
[Freeze]ボタンをタップすると、走査モードに入ります。
-
走査方法
1ジェルの塗布
プローブヘッドに水溶性のジェルを塗布します。正しい走査を行うためには、必ずジェルを塗布してください。
[ポイント]
ジェルは安全性が確認したものを使用してください。また、必要に応じて減菌処理されているものを使用してください。2走査開始
タブレットに表示される[Freeze]ボタンをタップするか、プローブ本体の[走査]ボタンを押して走査を開始します。
3走査
走査が開始され、プローブから取り込んだ超音波画像がタブレットに表示されます。
必要に応じて、各種パラメータを設定できます。
-
[動画保存]
取り込んだ超音波画像を動画保存する場合は[録画]ボタンをタップします。
30秒間の動画が保存できます。 -
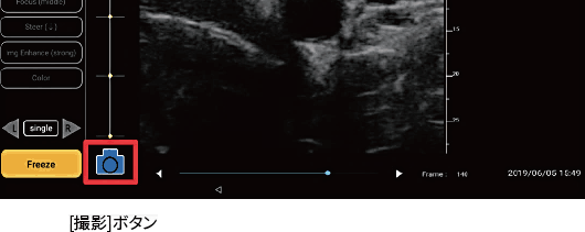
[画像保存]
目的の画像が表示されたら、[Freeze]ボタンをタップします。
静止画を保存する場合が、[撮影ボタン]を タップすることで静止画を保存できます。
[ポイント]
ボタン右側のスライドバーをドラッグすると、時間を前後して超音波画像が表示できます。
また、左右のカーソルキーをタップすると、静止画(フレーム)を1枚コマ送りします。
それらを利用して目的の画像を表示し、[撮影ボタン]で静止画を保存してください。
-
走査終了方法
1プローブの電源OFF
プローブの電源ボタンを[PWR LED]が消灯するまで長押しします。
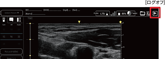
2ログオフ
タブレット画面の[ログオフ]をタップします。ログオフを確認するダイヤログが表示されますので[Yes]をタップしてください。
3タブレットの電源OFF
タブレット本体側面の[電源ボタン]を長押しすると、ダイヤログが表示されますので[電源を切る]タップします。